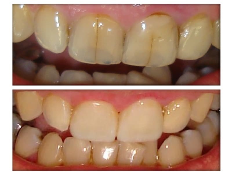
Before & After

Actual Cases and Procedures by Dr. Rajan Gupta

Cosmetic Dental Work

Crowns & Caps

Bridges

Implants

Dentures

Fillings

Hygiene

There’s a lot of detail in these photos to give you a true idea of what goes into our dentistry practices.
Feel free to contact us here, or learn more about the Donly Dental team here.